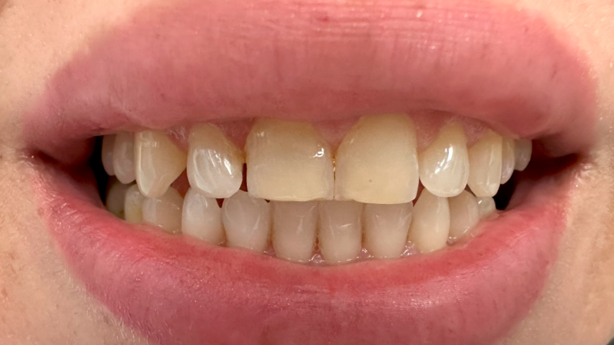
After
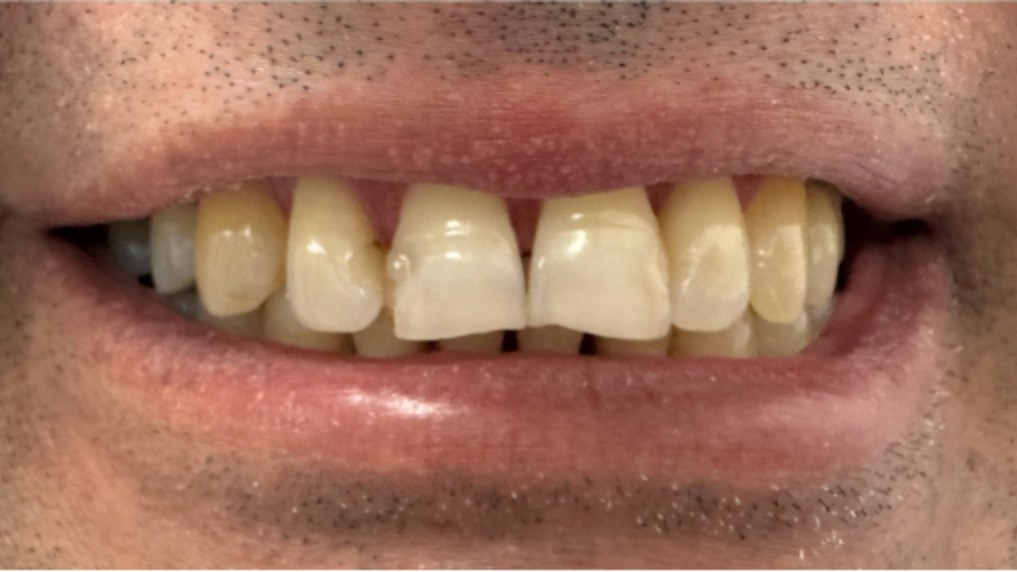
Before
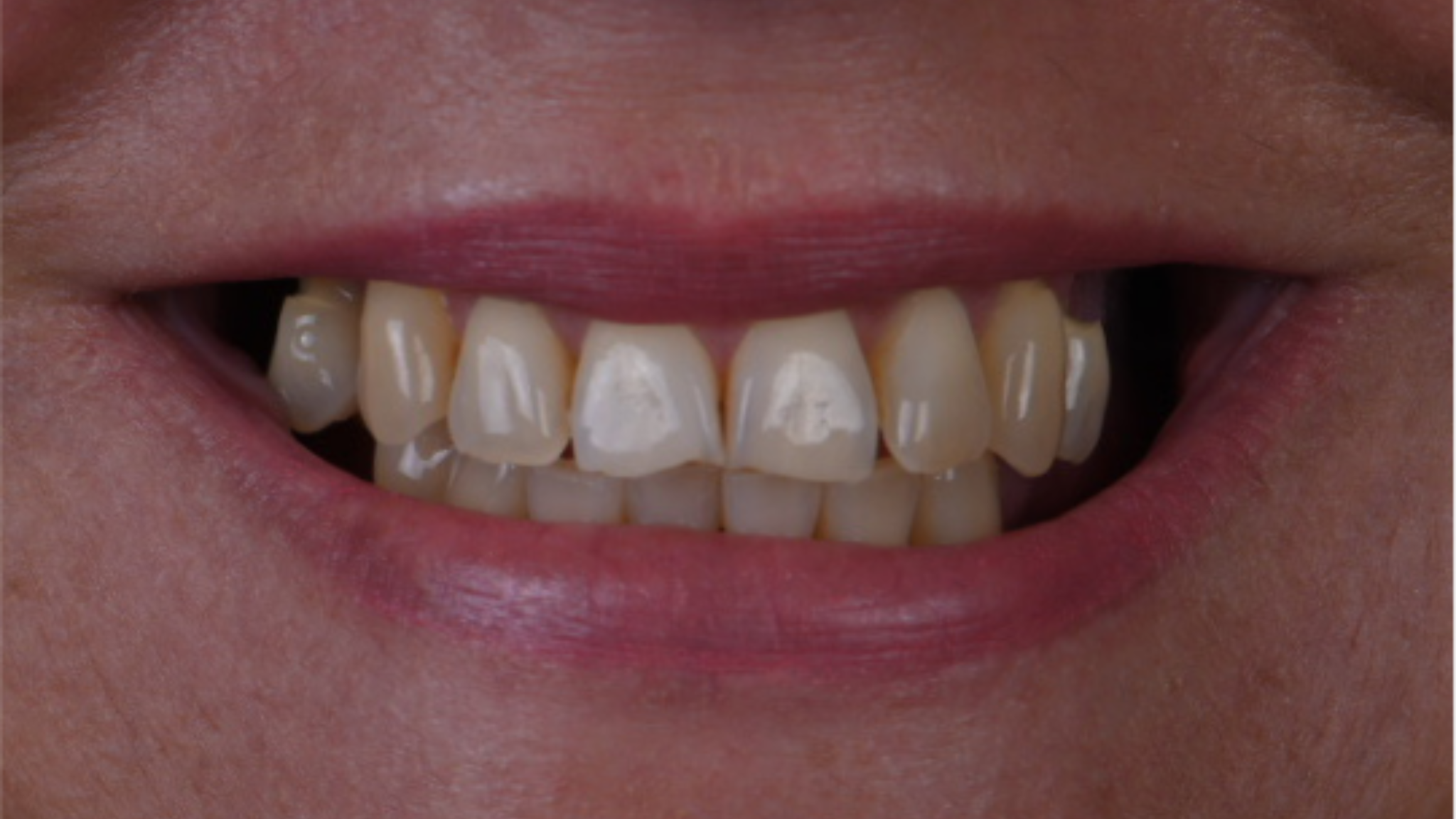
After
Before
After
Before
After
Before
After
Before
After
Before
After
Before
After
Before